渗出性病变(exudation)是一个病理生理名词,是指炎症局部组织血管内的液体和细胞成分,通过血管壁进入组织间质、体腔、粘膜表面的过程。


包括大叶(段)性阴影、小叶性阴影、腺泡状阴影、小叶中心阴影、类球形阴影(晕征、反晕征)、不规则状。
大叶性肺炎是整个肺叶大部分或完全实变。小叶性肺炎一般是小叶中心阴影或腺泡阴影,CT上可以分清小叶性阴影和腺泡阴影,而在胸片中两者难以分清,因为小叶中心阴影在X线平片中基本观察不到。类球形阴影常见于球形肺炎。

图3 从左至右,再从上至下分别为中叶的大叶性阴影,小叶阴性、腺泡性阴影、类圆形改变、晕征(中央实性,周围磨玻璃影)、不规则改变

图4 为1例右中叶大叶性肺炎。实变影延伸至水平裂停住,是典型的右中叶大叶性肺炎。另外,斜裂也很清楚。

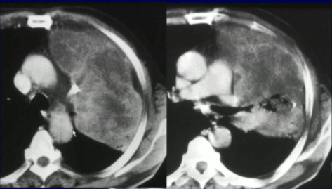
图5 克雷伯氏肺炎。中间可见有很多低密度改变,边界清楚,未越过叶间裂,肿瘤可以越过叶间裂,但炎症不太容易越过。


图7 左(厚层CT)似乎是右上叶后段整个段的磨玻璃影,右图薄层CT显示5~7 mm 阴影,这个大小是腺泡大小。

图8 呼吸道合胞病毒感染。CT上显示小叶性肺炎改变。因而,无论是病毒、支原体还是细菌,都可以有这种改变。


图9 巨细胞病毒肺炎。胸片中有广泛病灶,淡淡的。需注意的是,胸片中描述磨玻璃影不太准确,因为胸片有前后的问题,比如右下叶或右中叶实变,前面和后面都有含气,即使是实变影,在胸片中也可表现为类似磨玻璃影,所以CT中可以明确实变影还是磨玻璃影。图10 CT可见弥漫的磨玻璃样改变。

图11 右图左上叶可见结节,图左抗菌治疗2周后,结节吸收。所以,有些炎症可表现为类似结节样的改变。

图12 球形肺炎。图左CT上是类似于球形的改变,而在胸片中往往看起来像肿块样改变,但边界模糊,图右经过治疗后,病灶吸收好转。

最新评论